26년 3월 달력 24.jpg


스마일미 3월이벤트 1.jpg

치료 전후 비교

의료법 제56조에 의거하여 로그인 후 열람이 가능합니다.

스마일미치과는 환자 한 분 한 분의 상태에 맞는 진료를 바탕으로
실제 치료 사례를 신중하게 기록하고 공유합니다.

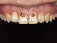
화이트스팟 아이콘레진치료

김OO님/치료기간:1일/화이트스팟 아이콘레진치료   ...

앞니 최소삭제 라미네이트

노OO님/치료기간:1개월/잇몸 성형 및 라미네이트   &n...

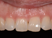
상악전치부 심미보철

      최OO님/치료기간:2주/상악전치...

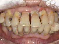
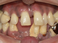
전악 임플란트

        황OO님/치료기간:13개...

최소삭제 라미네이트

      이OO님/치료기간:1개월/잇몸 성...

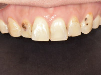
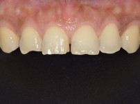
앞니 심미보철

       이OO님/치료기간:4주/2개...

실활치 미백

    김OO님/치료기간:2개월/앞니 실활치 미백

전악 임플란트

    김OO님/치료기간:7개월/13개 식립

Total 9건 1 페이지